Sunbit Financing
Pay Bill
79 Scripps Dr, Ste 204, Sacramento, CA 95825
(916) 604-4116
info@redfordsmiles.com
Our Office
79 Scripps Dr, Ste 204
Sacramento
,
CA
95825
(916) 604-4116
Visit Us Online
Home
About Us
Our Office
Our Team
New Patients
Pay Bill
Smile Gallery
Testimonials
Dental Videos
Our Doctors
Mark W. Redford, DMD
Donna Galante, DMD
Services
Dental Cleanings
Emergency Treatment
Extractions
Night Guards
Oral Cancer Screening
Oral Exams
Pediatric Dentistry
Periodontal Treatment
Preventative Program
Root Canals
Sedation Dentistry
Sports Mouthguards
TMJ Disorders
All-on-4®
CEREC®
Dental Bridges
Dental Fillings
Dentures
Implant Dentistry
Ceramic Crowns
ClearCorrect®
Cosmetic Dentistry
Teeth Whitening
Veneers
CBCT
Digital Impressions
Digital Radiography
Laser Dentistry
VELscope® Cancer Screening
Invisalign®
Dental Health
Contact Us
Request Appointment
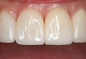
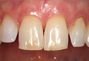
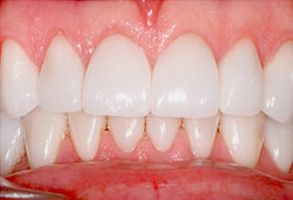
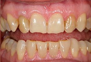
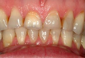
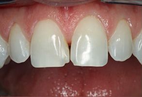
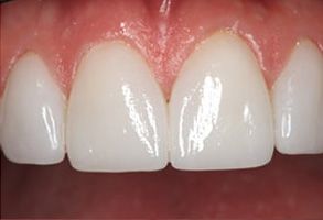
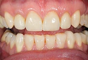
Dentistry Before and After Photos
Before
After
Before
After
Before
After
Before
After
Before
After
Before
After
Before
After
Our Office
79 Scripps Dr, Ste 204
Sacramento
,
CA
95825
(916) 604-4116
Visit Us Online
(916) 604-4116
© 2026 Redford Smiles. All Rights Reserved. |
Accessibility Policy
Dentist Website Design
Dentist in Sacramento | Sacramento Dentist | Cosmetic Dentist in Sacramento